Australian Dental Blog - Dento
Recent Posts

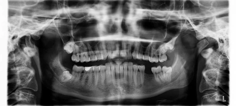
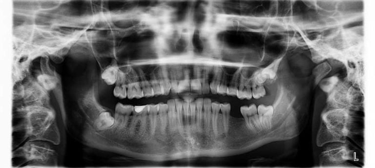
Opg x-ray
A dental X-ray is used for diagnosis, treatment, and follow-up dental problems. Panoramic x-ray helps in examining the dentist those parts with can’t be visible to the naked eye, such as underlined gums conditions, tooth

Nib dentists
Dental treatment is an expansive treatment over the world. Dental health care is not important only for aesthetics it is far more important for functional purposes. NIB dentist plays an important role in dental healthcare

Dentin hypersensitivity
Exposed dentine is the mechanism behind dentine hypersensitivity that causes intense pain for a short interval on alteration of mouth temperature. Abrasive brushing, acidic and hard diet, and medical issues can lead to DHS. WHAT

Composite bonding
Composite bonding is an important part of cosmetic dentistry. In this procedure tooth colour, the composite resin is applied to the tooth to improve tooth colour, shape, and size. It fills the gap between the

Dental Cavity: Tooth Decay
Bacteria from the sugary diet stick to the tooth surface and form plaque. This bacterial plaque releases acid that erodes the tooth surface. Loss of minerals and calcium from the tooth structure is the main

Dental Sealants: A Preventive Treatment
According to the ADA Council on advocacy for access and prevention, dental sealants application on the biting surface is effective in controlling children and adult tooth decay. Dental sealants provide a physical barrier that blockage

Guide to Dental Restorations: Types, Cost and Recovery
Dental restorations are procedures that help in keeping healthy teeth in the oral cavity. It restores the aesthetic and chewing function of the tooth. Its aim is to repair the original shape and function of

Everything you need to know about Tooth Filling
The tooth filling is used to repair defects and restore their normal shape. The selection of dental filling material depends upon the size and location of the tooth defect, durability, patient preference, allergy to the

Tooth Extraction : What Should I Expect?
Tooth extraction is a simple and minor surgical process done under local anesthesia. Commonly performed when there is no hope to save the tooth such as in grossly tooth decay with root fracture, severe bone

Root Canal: The Treatment That Saves Teeth From Extraction
Root canal treatment is performed when the deep part of the tooth (pulp) is infected. Pulp infection produces tooth sensitivity and extreme pain that affects our daily activity. The root canal treatment helps in resolving

Dental Crowns: Protect Your Teeth From Decay With This Innovative Solution
Dental crowns are prosthesis that strengthens the tooth and protect it from further damage. It is expensive because its fabrication required a dental laboratory and expensive materials but it is worth full as compared to

Veneers, Crowns, AND, Bridges: All You Need To Know
Veneers, crown, and, bridges are dental prostheses that resolve different dental problems. Veneer, crowns, and bridges can restore cosmetic issues, cover and strengthen the teeth and maintain the natural teeth alignment. Selection of dental prosthesis

Periodontal Treatment: An Effective Solution to Many Dental Problems
Periodontal treatment cure Periodontitis, a chronic inflammatory condition that infects supporting tooth fibers and bone. Periodontitis is the leading cause of tooth loss, gum recession, bleeding gum, and tooth sensitivity. The periodontal treatment eliminates the

Dental Implants: Why They’re So Popular?
The implant is the best and most long-lasting option for missing teeth. It is a complicated surgical procedure that should be performed by skilled and implant-specialized dentists. The selection of the type of implant depends

Wisdom Teeth: All You Need to Know (in 2 Minutes)
Wisdom teeth are the most common teeth that are extracted to prevent dental issues in the mouth. According to a survey, 20 to 30 % of people are going to remove their third molar before